V klassi preparatsioon komposiittäidisele

Kuupäev

Ajakirja pealkiri

Ajakirja ISSN

Köite pealkiri

Kirjastaja

Tartu Ülikool

Abstrakt

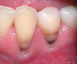
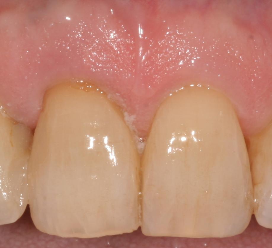
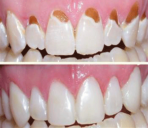
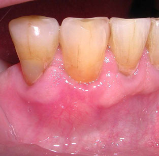
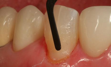
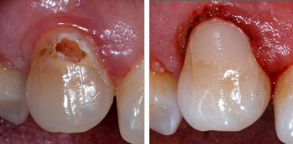
Õpiobjektis tutvustatakse kaariese restauratiivseks raviks loodava kaviteedi prepareerimise põhimõtteid keskendudes V klassi preparatsiooni komposiittäidisele.

Kirjeldus

Märksõnad

BeSt programm, sisupakett, kaaries, hammas, komposiit

Viide