IV klassi preparatsioon komposiittäidisele

Kuupäev

Ajakirja pealkiri

Ajakirja ISSN

Köite pealkiri

Kirjastaja

Tartu Ülikool

Abstrakt

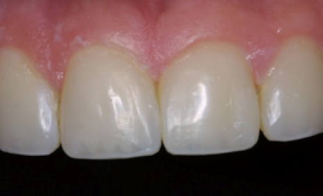
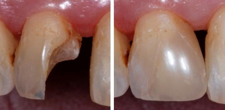
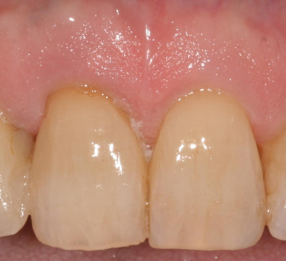
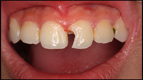
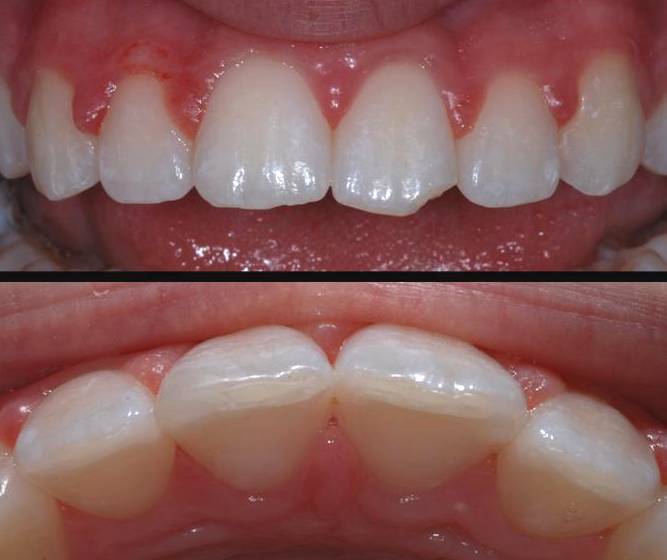
Õpiobjektis tutvustatakse kaariese restauratiivseks raviks loodava kaviteedi prepareerimise põhimõtteid keskendudes IV klassi preparatsiooni komposiittäidisele.

Kirjeldus

Märksõnad

BeSt programm, sisupakett, kaaries, hammas, komposiit

Viide