Modifitseeritud IV klassi preparatsiooni meetod
Modifitseeritud meetod on kliinilises ravitöös eelistatum. Adhesiivsüsteemid on edasi arenenud ja täidise püsivus seetõttu võrreldes varasemate aegadega paranenud. Parem adhesioon vähendab lisaretentsiooni kasutamise vajadust. Meetod sobib kasutada väikese ja keskmise suurusega kaarieskahjustuse korral ning murdunud hamba puhul.
Peamiseks nõudeks on eemaldada võimalikult vähe tervet, kahjustamata hambakudet. Samal ajal tuleb siiski mõelda täidise püsivuse ja retentsiooni peale. Selleks sobivad vajadusel veidi lamedam, oklusioonipinnaga risti olev gingivaalne kaviteedi sein (sarnanedes tavalisele meetodile) ja emaili kaldlihv.
Kaariest ja /või vana täidismaterjali eemaldades ei ole kaviteedile vaja anda mingit spetsiifilist kuju. Kaviteet kujuneb vaba käega kahjustunud koe eemaldamisel. Oluline on eemaldada karioosne kude emaili-dentiini piiril. Juhul, kui täidis on mälumisel korduvalt välja hammustatud (bruksism, valest hambumusest tingitud ülekoormus või mõni muu põhjus), tuleks siiski kasutada lisaretentsioonielemente.
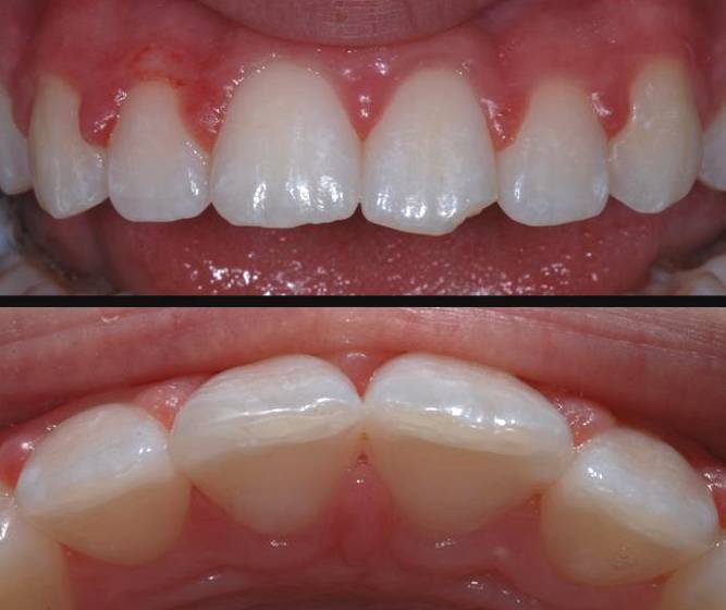
Murdunud hambakrooni korral piirdutakse peamiselt
emailiservade tasandamise ja emailiosa kaldu lihvimisega (vaata fotot), et suurendada
komposiidi retentsiooniks adhesioonipinda. Ulatuslikuma murru korral võib olla vajalik lisaretentsioonielementide kasutamine (vaata tavaline meetod).
Modifitseeritud meetodi korral kaviteet kujuneb karioosse koe eemaldamise käigus. Lisandub ainult kerge kaldlihv kaviteedi servade emailiosas.
