Korduv raseduse katkemine
Failid
Kuupäev
Autorid
Ajakirja pealkiri
Ajakirja ISSN
Köite pealkiri
Kirjastaja
Tartu Ülikool
Abstrakt
BeSt programmi toetusel valminud õpiobjekt "Korduv raseduse katkemine" on koostatud eesmärgiga anda sünnitusabi ja günekoloogia eriala spetsialistele, doktorantidele ja residentidele kaasajastatud ülevaade igapäevases kliinilises töös suhteliselt sageli esinevast probleemist. Õppematerjal koosneb nelja haigusjuhu analüüsist ja teoreetilisest osast, kus käsitletakse korduva raseduse riskitegureid, põhjusi ja ravi võimalusi. Õppematerjal sisaldab mitmeid testivormis küsimusi, mille abil saab hinnata oma teadmisi õppeprotsessi vältel. Kasutatud materjalid ja täiendavad infoallikad on toodud materjali lõpus teemade kaupa. Õppematerjali läbitöötamiseks kulub orienteeruvalt 10-12 tundi.
Kirjeldus
Märksõnad
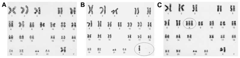
BeSt programm, sisupakett, viljatus, korduv raseduse katkemine, kromosoomianomaaliad, verehüübimishäired