Puukidega levivate nakkuste tekitajad
Kuupäev
Autorid
Ajakirja pealkiri
Ajakirja ISSN
Köite pealkiri
Kirjastaja
Tartu Ülikool
Abstrakt
BeSt programmi raames loodud õpiobjekt aitab iseseisvalt õppida viirusinfektsioonide tekitajate nimesid, morfoloogiat, klassifikatsiooni ja omadusi ning annab ülevaate ka viirusnakkuste patogeneesimehhanismidest, profülaktika- ja raviprintsiipidest. Materjal on mõeldud selleks, et toetada üliõpilaste iseseisvat õppimist ja anda neile võimalus oma teadmisi testida.
Kirjeldus
Märksõnad
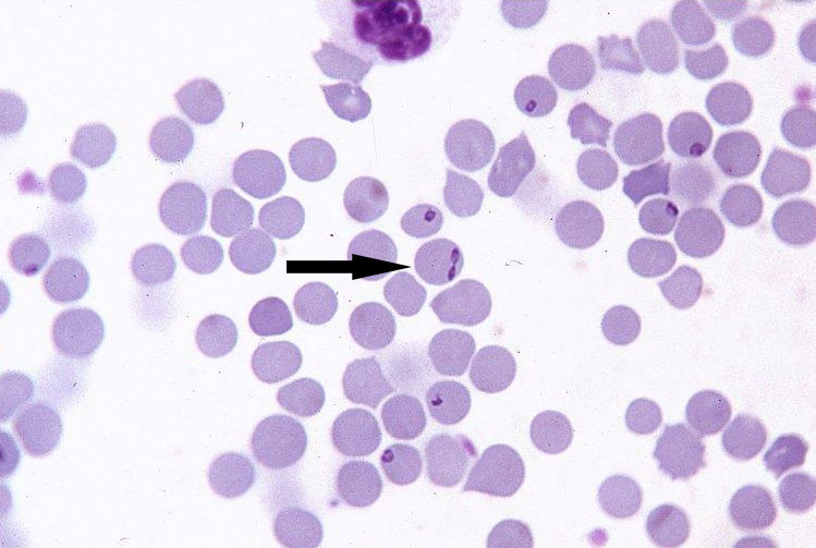
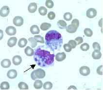
BeSt programm, sisupakett, meditsiiniline mikrobioloogia, puuk, puukborrelioos, Lyme’i tõbi, puukentsefaliit, anaplasmoos, erlihhioos, tulareemia, babesioos