Hüperandrogeneemia
Kuupäev
Autorid
Ajakirja pealkiri
Ajakirja ISSN
Köite pealkiri
Kirjastaja
Tartu Ülikool
Abstrakt
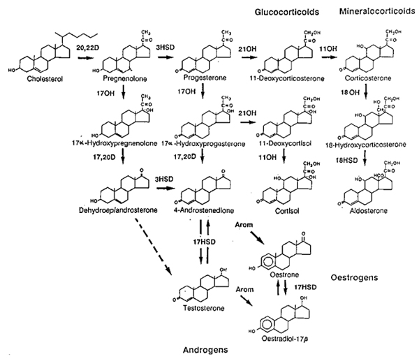
Õppematerjal "Hüperandrogeneemia" on koostatud sünnitusabi ja günekoloogia eriala spetsialistele, doktorantidele ja residentidele. Õppematerjal koosneb ühe haigusjuhu analüüsist ja teoreetilisest osast, kus antakse ülevaade steroidhormoonide ainevahetusest, rõhuasetusega androgeenidele, hüperandrogeneemia patogeneesist, kliinilistest sümptoomidest, diagnoosimisest ja ravist.
Kirjeldus
Märksõnad
sünnitusabi, günekoloogia